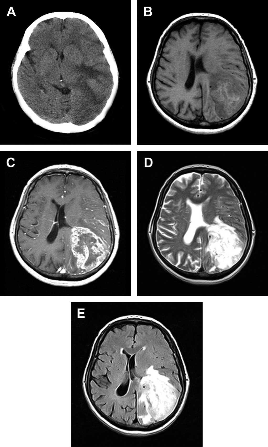
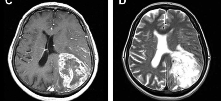
- Набряк головного мозку: наслідки, яких не очікуєш
- Причини та механізми набряку
- Кров’яний потік та об’єм: як усе це взаємодіє?
- Наслідки набряку: що на тебе чекає?
- Фізичні зміни: від головного болю до паралічу
- Психічні наслідки: переваги та недоліки?
- Методи лікування: спроба уникнути найгіршого
- Хірургічні втручання: радикальні методи
- Медикаментозне лікування: хімія в дії
- Не варто зволікати, інакше…
Набряк головного мозку: наслідки, яких не очікуєш
Коли лунають слова «набряк головного мозку», більшість з нас розуміє, що це — серйозно. Але справжні наслідки цієї патології можуть бути настільки багатогранними, що вони часто стають несподіванкою, навіть для досвіду лікарів.
Причини та механізми набряку
Ну, добре… від чого ж все починається? Причини можуть бути різними — від травм до хвороб. Існує багато механізмів, які запускають цей процес.
- Травматичні ушкодження мозку — таке трапляється, коли, наприклад, впасти з велосипеда без шолома. Бах — і вже на лікарняному ліжку.
- Інфекції — бактеріальні, вірусні, які тільки хочеш. Деякі з них можуть дуже любити наш мозок.
- Токсини — передозування наркотиками або алкоголем? Подумайте двічі.
- Інсульти — несподівані звуження та розширення судин. Ось така гра в рулетку.
- …Нестача кисню — мала кількість цього простого елементу теж може щось наробити.
Кров’яний потік та об’єм: як усе це взаємодіє?
Ну, насамперед, говоримо про те, як важливо підтримувати нормальний кров’яний потік в голові. Це не просто метафора, а справжнє питання життя і смерті. Буквально. І тільки трішки — образно.
| Фактор | Вплив |
|---|---|
| Об’єм судин | Збільшення може призвести до здавлювання тканин мозку |
| Кровотік | Недостатній потік — пригальмування функцій |
| Тиск | Зростання тиску може спричинити розриви |
Наслідки набряку: що на тебе чекає?
Мозок — це, насправді, та ще машина. Він сильно залежить від життєвоважливих умов… і якщо щось йде не так, наслідки можуть бути відчутні одразу.
Фізичні зміни: від головного болю до паралічу
- Головний біль — аж до неможливості зосередитися, навіть на улюбленому серіалі.
- Судоми — що трапляється, коли мозок вирішує, що він — не комп’ютер, а феєрверк.
- Параліч — і це, чесно, не жарт.
- Свідомість — втрата, зміни… навіть галюцинації.
Жоден з цих симптомів не є питанням «може», всі вони — реальні учасники шоу під назвою набряк головного мозку наслідки.
Психічні наслідки: переваги та недоліки?
Хтось скаже: «Отямився і все минулося». Та ось не завжди, друзі. Психіка може постраждати, як ніколи.
- Пам’ять — виявляється, все пам’ятати не так вже й легко, коли імена власних дітей забуваєш.
- Сплутаність свідомості — наче завжди не можеш віднайти свої думки.
- Депресія — а ось тут більше нікого не звинуватиш.
Це не повний список, не завжди і не у всіх, але вдвічі підкреслити набряк головного мозку наслідки — не буде зайвим.
Методи лікування: спроба уникнути найгіршого
Отже, що робити? Сидіти, скласти руки і плакати? Навряд. Лікування починається відразу — час тут як супротивник на фінішній прямій.
Хірургічні втручання: радикальні методи
Операції, скажете ви… та ні, це не те, що ви собі уявляєте. Це вхід у світ, де точність має вирішальне значення, а помилки не прощають.
Медикаментозне лікування: хімія в дії
Іноді досить і ліків. Вони не лише знімають симптоми, а й допомагають мозку відновлюватися. От саме тут він перетворюється майже на Алхіміка. Деякі препарати мають свої трюки, але результат може навіть здивувати.
Не варто зволікати, інакше…
Ну, ви вже зрозуміли. Не варто чекати чи думати, що проблема вирішиться сама собою. Вона того не зробить. Запам’ятаєте слово «набряк», і тут не про здоровий глузд, а про фізіологію. Дивіться за собою, бережіть своїх близьких. Адже ніхто не застрахований від цього. Все може змінитися в одну мить… але дія вчасно — і шанси на одужання різко зростають.







