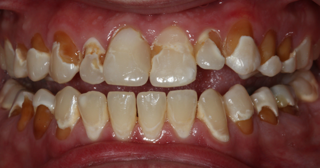
Гнилі зуби наслідки: що чекає на вас, якщо ігнорувати проблему
Гнилі зуби ― фраза, що вже самим звуком наводить жах. Щось таке, що переслідує в ночах. Але ж, давайте розглянемо глибше ― які наслідки можуть чекати, якщо нехтувати здоров’ям рота? Чесно, перспективи не з найкращих.
Що таке гнилі зуби?
Зуби, які вийшли з ладу, кажучи людською мовою. Зазвичай від карієсу. І от стоїш перед дзеркалом ― наче не монстр, а зуби вмирають. Хто ворог у цій битві? Карієс, хвороби ясен, погана гігієна, іржа часу.
- Карієс: Підступно починає з невидимого ока, роз’їдаючи емаль, поступово знищуючи зуби.
- Хвороби ясен: Ніякої романтики, тільки біль і кров.
- Погана гігієна: Занедбаний рот ― це як занедбаний город.
Чому це важливо?
Можна подумати, що “гнилий зуб ― це проблема окремо взятого зуба”. Не зовсім. По-перше, це джерело інфекцій. Токсини? Неодмінно! І це ще не вся катастрофа.
- Якщо проігнорувати, інфекція пошириться на інші органи.
- Запах з рота ― це лиш поверхнева проблема.
- Їжа та напої ― боляче, ніби розпеченим вугіллям по нерву.
Гнилі зуби наслідки: історії з реального життя
Візьмімо, до прикладу, звичайного хлопця з звичайного села. Назвемо його Андрій. Улюблене слово всіх зубів? “Терплячий” Андрій, який думав, що зніме зубний біль чаркою. Де він зараз? Сидить у стоматолога, з безмірно порожнім гаманцем.
Не менш сумна історія про Миловану. Колись мала усмішку, як у зірки, тепер боїться навіть розказувати анекдоти в компанії. Турбує не лише флора, але й усе мовлення. Гніздо бактерій, що все більше нагадує вулкан готовий до виверження.
Особистий досвід: “як я зіткнулася з гнилими зубами”
Ось і моя історія. Чекаєш, що про це розкажу? Справа в тому, що я, як і багато хто, вперше була забута стоматологами під час карантину ― у ці часи з видуманими правилами життя.
Планувала лише рутинний огляд. Але без дотримання гігієни ― таки знаєте… ніщо так не стрімко псує зуби, як звичка заварювати чай на всю ніч.
Реальні наслідки
Пора переходити до дійсно темної частини ― наслідків. І не лише особистих.
| Проблема | Імовірність | Коментар |
|---|---|---|
| Зубний біль | 100% | Постійний супутник |
| Втрачення зубів | Висока | Навіть підмога в стилі “молочний зуб” не допоможе |
| Швидкий розвиток захворювань | Дуже ймовірно | Еволюція бактеріальна |
| Системні хвороби | Неминуче | Чого не чекаєш, як бумеранг вернеться |
Чи можуть наслідки бути інакшими?
Ну, якщо гроші не проблема ― стоматолог, імпланти, дороге лікування. Але, знаєте, іноді хтось знаходить креативні рішення ― чи у вас пахнуть зуби пармезаном? Імбирний чай ― чи спасе світ від гнилості?
Гнилі зуби наслідки: перспектива без фінальної точки
Врешті-решт, гнилі зуби залишають все більший слід ― не лише у вашій кишені. Це здоров’я, комфорт, естетика. Не чекайте, поки карієс постукає в двері ― завжди легше запобігти ніж лікувати. Тож, живи з побоюванням… або користуйся щіткою.







