Мікроаденома гіпофізу наслідки: сутність проблеми
Розпочнемо з самого початку. Мікроаденома гіпофізу – це невелика доброякісна пухлина в одній з найважливіших залоз нашого мозку. Що таке мікроаденома гіпофізу і які наслідки можуть загрожувати здоров’ю, може здаватись справою суто медичною… Але коли це стосується тебе або твого близького, питання стає особистим.
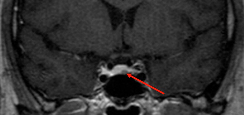
Що таке мікроаденома гіпофізу?
Гіпофіз — крихітна, але могутня залоза, що регулює чимало важливих функцій в організмі. І коли в цій залозі починається рости мікроаденома, все змінюється. Вона може впливати на вироблення гормонів, і то суттєво. А симптоми можуть бути різними, від головного болю до змін у рівні гормонів, і навіть впливати на зір. Як таке можливе? Це досить просто: гіпофіз розташований під мозком у маленькому заглибині – турецькому сідлі. І будь-яке новоутворення тут може стискати довколишні структури мозку.
Основні симптоми мікроаденоми
Фізичні прояви
- Головний біль, який інколи не знімається навіть від звичного анальгетика.
- Зменшення або навіть втрата зору — це трапляється, коли пухлина тисне на зорові нерви.
- Зміни маси тіла — зірвалася опція “що з’їсти”.
Гормональні зміни
- Нерегулярні менструації у жінок або проблеми з потенцією у чоловіків.
- Підвищений вміст пролактину, що у свою чергу може викликати різну біду.
- Акромегалія — надлишкова секреція гормону росту. Ха! Кожен хоче бути трохи вищим, але не так.
Наслідки і лікування, коротко і по суті
Мікроаденома гіпофізу наслідки – це не просто якісь там больові відчуття. Це втрата продуктивності, знижена якість життя, а для когось і втрачена можливість мати дітей. Лікування включає в себе як медикаментозне втручання, так і операцію, але… не всім показана хірургія. Часто це дороге і не завжди безпечне заняття. Ще є радіохірургія. Це коли стріляють лазером типу, але це вже для тих, хто не боїться.
Медикаментозне лікування
- Ідіть і шукайте дофамінові агоністи — вони стримують вироблення пролактину.
- Глюкокортикоїди. І так… це свого роду терапія легко без цукру. Світ окупає.
- Інші ліки залежно від специфіки гормональної дисфункції.
Оперативне втручання
Операція може бути потрібна, коли медикаменти не допомагають або є ризик постійного пошкодження зору. Мікрохірургічне видалення — це варіант. Чи є ризики? Звичайно. Як і в кожній операції. Але іноді це єдина надія.
Підсумок: чи все так погано?
Отже… Що сказати у підсумку? Чи все так уже і страшно? Залежить від погляду на ситуацію. Хтось стикається з проявами, що є начебто невеликими, та лікування має місце, і це, врешті, поліпшує ситуацію. Інші – можуть стикнутися з серйознішими проблемами, і тут, нічого не вдієш, хірургія або постійна медикаментозна підтримка стають частиною життя. І хоча медики мають свої методи й спроби, хтось просто залишиться сподіватися на удачу, природний захист організму чи навіть трошки магії для вирішення проблеми.
| Тип лікування | Переваги | Недоліки |
|---|---|---|
| Медикаментозне | Без операцій, контроль симптомів | Побічні ефекти, тривалість прийому |
| Хірургічне | Видалення пухлини, швидке поліпшення | Ризики операцій, можливі ускладнення |
Це справжня життєва дилема, вирішення якої залежить від безлічі факторів та обставин. І хоча лікарі можуть допомогти, багато залежить і від впертості самого пацієнта, його готовності боротися і не здаватись перед лицем незвіданих викликів здоров’я.







